February 2026
Monthly Archives
More stories
-
Innovative Synthesis of Selanyl Phenyl Compounds through Fragment Merging Approach
The Convergence of Online Verification and Healthcare Security At first glance, the message “Verifying you are human. This may take a few seconds. Verification successful” might seem like a standard checkpoint used on many websites. However, beneath these seemingly routine words lies a layered story of cybersecurity that has become particularly important in the realm […] More
-
ESMO 2025 Head and Neck Cancer Breakthroughs and Emerging Treatment Trends
Balancing Website Security and Access to Trusted Healthcare Information In today’s digital era, accessing valuable healthcare resources online is as essential as it is challenging. There are times when attempts to reach trusted websites, including those providing the latest insights on modern medicine, alternative medicine, nutrition, disease conditions, and fitness, are unexpectedly interrupted by security […] More
-
Celebrating the Compassionate Support of Cancer Nurse Navigators
Reflecting on the Impact of Compassionate Care in Cancer Treatment The journey through a cancer diagnosis is filled with many tricky parts, tangled issues, and moments when one feels overwhelmed by the twists and turns in treatment. As someone who has witnessed these challenges firsthand, I am compelled to share my thoughts on the critical […] More
-
Hot
Exploring Acupuncture Benefits For Autism Through Target Trial Emulation
Introduction The integration of modern methodologies and traditional practices in healthcare is an evolving topic that continues to gain traction. Recently, the application of target trial emulation (TTE) to evaluate acupuncture combined with rehabilitation therapy for children with autism spectrum disorder (ASD) has sparked considerable discussion. This editorial offers an opinion on this emerging research […] More
-
Legislators Weigh Alternative Approaches to Funding High Cost Medications
Examining the High-Cost Drug Funding Debate: An Opinion Editorial State legislators across the nation are currently embroiled in a heated discussion regarding the use of alternative funding programs for prescription drug benefits. These programs are designed to help manage the steep costs of expensive medications. However, they come with their own set of tricky parts, […] More
-
Hot
Empowering Holiday Strategies for Cancer Warriors From a Moffitt Social Worker
The Significance of Online Security in the Modern Healthcare Landscape In today’s digital era, healthcare organizations increasingly depend on secure and reliable online platforms to connect with patients and manage sensitive information. As an editor for an online healthcare journal, I have observed that the safety measures implemented on healthcare websites are as important as […] More
-
Revolutionizing Craniocervical Dural Imaging with Endoscope Integrated Indocyanine Green Videoangiography
Understanding the Challenges of Craniocervical Vascular Malformations In recent years, the management of vascular malformations at the craniocervical junction has been on the forefront of neurosurgical innovation. This editorial takes a closer look at the evolving techniques that combine advanced imaging technology with minimally invasive procedures, focusing on the role of endoscope‐integrated indocyanine green (ICG) […] More
-
Revolutionizing Cancer Treatment with Personalized mRNA Vaccines and the Funding Challenge Ahead
Personalized mRNA Vaccines: The Future of Cancer Treatment? Advancements in medical science continually push the boundaries of what treatments can achieve. One of the most promising developments of recent years is the use of personalized mRNA vaccines to treat cancer. With cancer remaining one of the leading causes of death despite significant treatment advancements, these […] More
-
Giredestrant Shines with Advancements in DFS for Early Stage Breast Cancer
Giredestrant’s Breakthrough in Early-Stage Breast Cancer: An Opinion Editorial The oncology field is witnessing an exciting shift as emerging evidence suggests that giredestrant, a novel oral selective estrogen receptor degrader (SERD), might herald a new era for early-stage breast cancer treatment. Recent phase 3 trial results from the lidERA study have shown an improvement in […] More
-
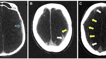
Revolutionizing Chronic Subdural Hematoma Care Through Advanced Diagnostics and Treatment
Chronic Subdural Hematoma: A Shifting Landscape in Neurosurgical Care The management of chronic subdural hematoma (CSDH) has been a topic of heated discussion in the healthcare community for many years. With an annual incidence that ranges from 1.7 to 20.6 per 100,000 people—and climbing due to an aging global population and increasing use of anticoagulant […] More
-
Emerging Breakthroughs in Prostate Cancer Care with PSMA Theranostics and PARP Inhibitors
Online Security in Modern Healthcare: More Than Just a Verification Process In today’s digital age, healthcare platforms have become a central hub for patients, professionals, and researchers alike. As more people rely on online systems for medical consultations, health records, and research updates, the importance of robust cybersecurity measures grows every day. One of the […] More
-
Understanding HER2 Status Unlocks New Treatment Options For Metastatic Breast Cancer
Digital Privacy and Personal Health: Two Sides of the Same Coin In today’s interconnected world, where advanced technology melds with both healthcare journalism and digital marketing, we are constantly confronted with tricky parts and tangled issues that affect how our personal data is used. Whether it’s an intimidating cookie policy on a website or the […] More











